Cast Partial Dentures (CPDs) | Removable Solution for Multiple Missing Teeth

Cast Partial Dentures

Cast Partial Dentures (CPDs)

Cast Partial Dentures are a high-strength, lightweight, and comfortable option for replacing multiple missing teeth. They use a cobalt-chromium metal framework that fits securely around your natural teeth, offering excellent stability and function.

What Are Cast Partial Dentures?

A Cast Partial Denture is a removable dental appliance designed to replace missing teeth while preserving the health of remaining natural teeth. The combination of metal framework and custom-made artificial teeth gives a natural, secure feel.

Key Advantages

High Durability: Metal framework resists fracture and lasts longer than acrylic dentures.

Superior Fit & Comfort: Slim, lightweight design makes it easier to adapt to.

Stable & Secure: Precision clasps hold onto natural teeth, improving confidence while talking and chewing.

Better Chewing Efficiency: Restores proper function, allowing you to enjoy a wider range of foods.

Protects Remaining Teeth: Prevents shifting or tilting of adjacent teeth.

Aesthetically Pleasing: Can be designed with minimal visible metal for a natural smile.

Cost-Effective: Offers long-term value due to its strength and lifespan.

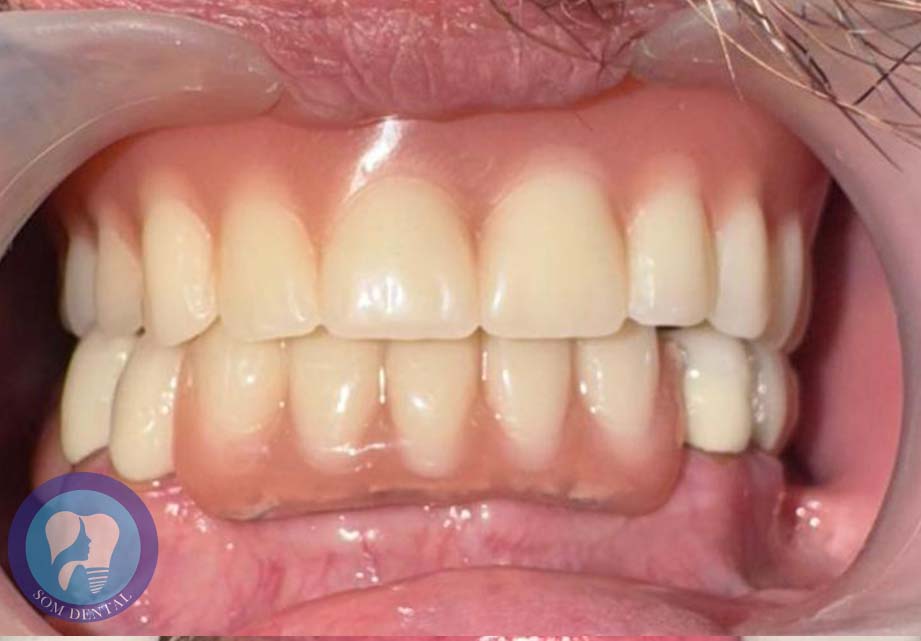
Gallery

Who Is It Suitable For?

Ideal for patients who:

  • Have some natural teeth remaining
  • Want a stable removable option
  • Need a long-lasting solution to replace multiple missing teeth

Care & Maintenance

  • Clean daily with a soft brush and denture cleanser
  • Keep away from hot water
  • Store in water when not in use
  • Visit your dentist regularly for adjustments and checkups

Frequently Asked Questions

+ What is a Cast Partial Denture?
A Cast Partial Denture is a removable dental appliance designed to replace multiple missing teeth. It is anchored to the remaining natural teeth with metal clasps, providing stability and support.
+ How is it different from a complete denture?
Unlike complete dentures, which replace all teeth in a jaw, a Cast Partial Denture only replaces the missing teeth and is supported by the remaining natural teeth.
+ Will it look natural?
Yes, Cast Partial Dentures are designed to blend seamlessly with your natural teeth, both in shape and color.
+ How do I care for my Cast Partial Denture?
Care involves regular cleaning with a soft brush and denture cleaner, avoiding hot water, and storing it in water when not in use. Regular dental check-ups are also important.
+ How long will it last?
With proper care, a Cast Partial Denture can last several years. The metal framework is particularly durable.
+ Is it comfortable?
Most patients find Cast Partial Dentures comfortable, as they are custom-made to fit the contours of your mouth. There might be an adjustment period after first getting them.
+ Can I remove it myself?
Yes, Cast Partial Dentures are designed to be easily removable by the patient for cleaning and maintenance.
+ What if I have more questions?
If you have more questions, feel free to contact us or consult your dentist. We're here to help!