Implant-Supported Overdentures | Secure & Comfortable Denture Solution

Implant Supported Overdentures

Implant-Supported Overdentures

Implant-Supported Overdentures are an advanced option for patients looking for more stable and comfortable dentures. By combining dental implants with a removable denture, this treatment provides exceptional grip, improved chewing ability, and long-lasting oral comfort—ideal for anyone struggling with loose or unstable dentures.

What Are Implant-Supported Overdentures?

Implant-Supported Overdentures (also called implant dentures or snap-on dentures) are removable dentures that attach to 2–4 strategically placed dental implants in the jaw. These implants act like strong anchors, allowing the denture to snap securely into place, offering far better stability than traditional complete dentures.

Benefits of Implant-Supported Overdentures

Maximum Stability & Grip: No slipping or wobbling while speaking or eating.

Improved Chewing Power: Enjoy a wider variety of foods with more confidence.

Enhanced Comfort: Reduced gum soreness and fewer pressure points.

Prevents Bone Loss: Dental implants help preserve jawbone and facial shape.

Natural Look & Feel: Better aesthetics and improved facial support.

Improved Speech: Clearer pronunciation without denture movement.

Cost-Effective Implant Option: Offers many benefits of fixed implant bridges at a lower cost.

Easy to Clean & Maintain: Denture can be removed daily while implants remain fixed.

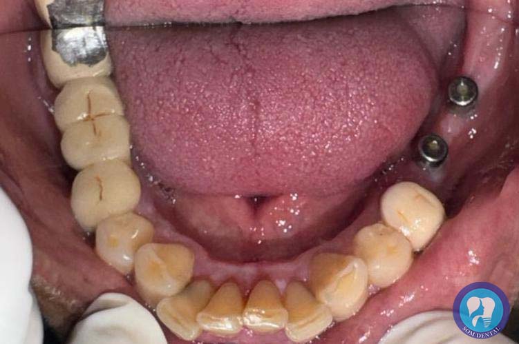
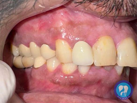
Gallery

Who Is a Good Candidate?

You may be a suitable candidate for implant-supported overdentures if you:

  • Are tired of loose or uncomfortable traditional dentures,
  • Want a secure, long-term solution for missing teeth,
  • Have adequate bone volume (or can undergo bone grafting if needed),
  • Prefer a removable but highly stable denture system,
  • Seek a more budget-friendly alternative to full-mouth fixed implant restorations.

Care & Maintenance

Remove and clean the denture daily with a soft brush and denture cleanser.

Clean around implant attachments to maintain gum and implant health.

Schedule regular dental checkups for minor maintenance of the attachments.

Store your denture in water when not in use to maintain its shape.

Why Choose Implant-Supported Overdentures?

For patients wanting a more reliable, comfortable, and natural-feeling tooth replacement solution, implant-supported overdentures are one of the best ways to restore confidence, function, and quality of life.